Edappally +917558011166Thrissur +917558011166Paravoor +917558011166Nayarambalam +917558011166Kalamassery +917558011166


Bootstrap Touch Slider

"Oral Health is an
aperture to overall health"

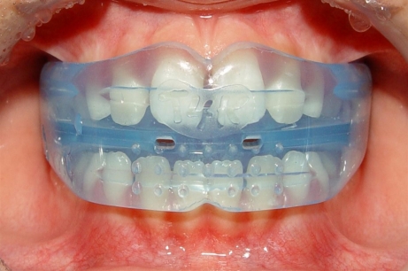
Myobrace

Myobrace is an orthodontic treatment ​approach to correct disharmonious oral muscle function and thereby prevent or correct developing mal alignments of teeth and jaws in young children .

3 out of every 4 children have crowded teeth and incorrectly developing jaws. These problems are evident from as early as 4 years of age.

Abnormal muscular pressures can influence teeth position and dental arch stability. Studies indicate that the position of the teeth is determined by the pressure from the lips, tongue and childhood habits.

Modern research has shown that a number of poor childhood habits (incorrect myofunctional habits) can cause incorrect jaw development, crowded teeth and other orthodontic problems.

Based on over 20 years of research and currently used by patients in over 100 countries, early or interceptive orthodontics with myobrace reduces and often avoids the need for future treatment with dental braces by laying the foundation for correct ​jaw bone growth and creating the necessary amount of space for teeth early on.

Related Services

Get in Touch with us Today

Contact Details

Topmost dental care Opp.Al Ameen School Auditorium NH - 17, Edapally Ernakulam - 682024 Ph:7558011166

Topmost dental care Opp. Panchayath Indoor Stadium Mala, Thrissur-680732 Ph:9207769777, 7558011155

Topmost dental care Vedimara Jn, Mannam P.O North Paravoor Ernakulam - 682024 Ph:8129823012

Topmost dental care 11/144E Building Near Juma Mazjid Nayarambalam
Kochi-682509
Ph: 8129261188

Topmost dental care 11/144E Building Kalamassery
Kochi-682509
Ph: 8129261188


Copyright © 2018. Topmost Dental Care. All rights reserved. Web Design By Techsoft